Site and menu construction are still a work in progress.

Directed Energy Weapon Attack ?

And A Natural Cure of Head Injury

Last Edits:   May 2025    AND   2026: Website Code Reformatting

I have researched the particulars for years and then meditated upon the circumstances around this 2007 traumatic attack. The second attack in August 2013 had prompted me to more closely review and update these webpages to affirm that development of awareness is hated and was attacked. This webpage attempts to described such a rare kind of attack, which may assist other surprised experiencers. (The second incident will be republished when time permits). I was attacked or illegally experimented upon and affirm that one can survive these attacks, given due diligence. I believe that among the best defenses is a strong sense of personal integrity which should sit on one's shoulder, and resist illegal, electronic attacks of any kind. Such unexpected, external impulses could potentially afflict the self-aware person, as a targeted individual. (”TI” attacks can be researched on unbiased search engines). 


It is my long studied opinion, that humanity is infected by little little known, multifarious, and inordinate hate.... As of 2025 there appears more public awareness of this. That subservient perpetrators  challenge the course of human destiny. That forms of genocide are in produced . That intended outcomes include enslavement, subservience, and planned-toxicity, but that higher law encourages humans to peacefully overcome such perversions.

On the surface, the 2007 occurrence might appear like two careless accidents, which humans suffer, in the labor of earth-moving. After years of reflection on the circumstances: I conclude that technology beyond the range of common human perception, was the cause of my nearly fatal injury described below. At first it was a mystery  for lack of better evidence. Also my intent was to protect the reputation of my friend who operated his excavator during the injury.

While digging deeper in this construction site: I sadly managed to get hit in the head by the 20+ ton excavator, (later in the day, as my friend dug the well). I had to save the innocence of my friendly operator and myself as it increasingly looked like a remote-mind-control setup. I have concluded that my awareness was suppressed, by forces outside of my own control. I simply was not expecting such forces of suppression existed in this world. I have concluded, after much research into psychic phenomena and into electronics-tech, that it is indeed possible that human-senses can be interfered with and also manipulated. I had ignored such possibilities earlier, for lack of such expectations. 

Based Upon www Research

Essentially my senses and motor control were overridden. I have considered testimony of two family witnesses, in addition to my friends testimony-- Just before the accident, my friend had the understanding that I was directly departing from the constructiuon site and was not present, that I had stopped work for that day. My traumatic injury occurred in the excavator's blind spot. (Excavator arms always present this blind spot, naturally). In fact I was leaving the vicinity, some moments before my traumatic injury. What ensued, in my recollection, was "missing time just minutes before the traumatic impact. Yes, my human-awareness had stopped before I was hit (and this was nearly fatal). Also, two witnesses, (my sister and the excavator operator), shortly after the traumatic injury had occurred, say that they saw me precariously walking towards a likely fall into the deep ditch. They say they got there just in time. My friend the operator (Steve Palmer), heroically jumped across the deep ditch to lead me away. They took me to a house, while my body walked with difficulty and somewhat incoherently. I have absolutely no recollection of climbing up the dirt pile to become targeted, nor of walking away with them, nor of these post-traumatic efforts or moments. Except for their testimony, shared soon after the "traumatic injury and recovery". My expectation is that my body was walked without self awareness or self presernce, and that this was in fact an attempt by electronic perpetrators, to finish killing my body. A remotely operated, directed energy weapon was being used, by the perpetrators. I was selected as a target. I happened to resist the attacks. So that their goal would be to override or murder persons persons. The perpetrators use or experiment with such weapon systems.

More on the evidence of mechanical aspects follows: Next is a picture taken some days before the traumatic injury. Followed by an account of "the excavator-tread derailment", occurring before the traumatic injury.

In the tread derailment, my friend had straddled the deep ditch to distribute a little gravel at the ditch bottom. He did this somewhat boldly with his excavator. His straddling resulted in a cave-in of the ditch,(photo below), but no person was physically injured in this incident. 

Cave-in Before My "traumatic accident":

I helped him along with a local a logger on his skidder. With the pictured, yellow bull-dozer side-leveraging the excavator with it's arm raised, I tilted the excavator pulling with a chain, onto the stabler track. (This worked out beautifully). We managed to get the machine out of the caved in ditch. My friend's excavator had derailed it's right-hand track in the ditch. So he had to back out, on the left hand track only. Hence the added need for raised-arm-leveraging, of the heavy machine to it's left-hand side. Later, we had to pry the derailed (right-hand) tread back onto it's rollers as the cave-in had derailed it. Later that afternoon, I got electronically hit and my body was electronically jockeyed into harm's way, (after knocking out my wakefulness, and as summarized above). 

It could not be explained socially, for lack of immediate-in depth-proofs with support. My conscience was mystified for lack of better explanations, (as so little was evident at that time). During the ensuing trauma of great head pain and perceptual disorientations and other interuptions, I held to my trusty conscience. I accepted my condition even if others supposed it was my willful fault. I later contemplated how my memory couldhave blacked out for that period of time. I concluded that: It had blacked out before I was hit! yes, I blacked out before I was injured! But how could a blacked out person climb a dirt bank and stand in the way of big, busy excavator? This was a mystery to struggle with internally, (contemplating it for years afterwards). I felt ready in 2013, six years after the attack, after my internet research as well, to clarify my assertions, by writing this webpage. Despite likely assertions that traumas ruin memory permanently. I differed, based on continued, clear and thoughtful analysis, and continued recovery. Here are additional pictures, of the physical evidence.

Above:  Close up photo of cave-in extent.

Below:Initial Success

Before the traumatic occurrence & some hours after the excavator was restored to good use.

The above, low-res pictures were added in August 2013. More evidence follows.

Ten minutes before the extraordinary blacking-out-of-my-mind, my friend and I had discussed my departure from the area. As I had intended to leave directly. However, when passing by the the bank of earth, on my way out, I had decided to take a quick look at the ditch behind the dirt bank. So I was barely starting to climb the dirt bank, when my awareness blanked out and remained blanked out for hours! At the time of my last memory I was still at the bottom of the steep embankment. 

Again: Excavator arms hide the view, in this case hiding right side view, and he was also assured of my departure, (by me minutes earlier). I would never step into the path of the excavator swing. I'm not inattentive as the perpetrators wanted it to appear! The accident happened after this point in time. Picture above was around mid-day. Several hours later my "intended attempt" was to occur. 

The following pictures were taken weeks later. Due to my near death head smashing, I was unable to get back to the site for some time. The following picture was taken to the left of the scenes above.

I definitely recall beginning the climb, up the bank of earth. The tall bank is on the left, in the picture above. Additional picture below better shows height of earth bank. I was fully aware of the excavator's swing-reach. My intent was to stay safe by checking the position of theexcavator bucket, before climbing too far up the bank! Stay safely below the top edge of the earth bank and just for a quick snapshot peek. Then leave quickly and get some refreshments after a long hard physicl work day. At that point it was to be swinging away.  A large excavator takes time to swing around-- More time than was intended to stay anywhere near to the swing zone... What happened next was an extraordinary mystery to me! My awareness and senses seemed to become blacked out while I was just beginning to climb up the bank of earth. I recall nothing beyond forming the intent to carefully observe the excavator, while I was still positioned at the bottom of the bank. All of which convinces me that my awareness was actually targeted and blanked out or "blacked out". It is the first time and only time in my memory, where this has occurred. So it is a very rare form of technology employed to get rid of me. I found some similarities while researching these terms: psychotronic-weapons, psychic-blocking, mind-control , blacking out, weapons testing on US citizens-- Done by manipulative perpetrators, who have hidden and crazed agendas...  My body was somehow externally- controlled to expose me to a fatal accident. I did not wake up, (recover consciousness after the skull fracturing concussion), until some hours later, as described further below.. 

Some six weeks after the incident, in September of 2007, I wanted to focus on getting new , paying work, since funding was stopped on this job. The accident had made me look unreliable. Despite that, during August 2013, at age 64, body was very fit and energetically productive with hard labor. My story has seemed very crazy but invites readerconsideration of this testimony to make their own conclusions. Every human may well become jeopardized just as badly. The publication of individual stories is worthwhile to alert those who oppose the subliminal slavery. By informing awareness, of those with ability to rationalize. With ability to see the on-going-hijacking of human potentials. A highjacking to prevent higher awarenesses from developing. An enslavement which is hypothesized to include an intended portion of genocide. A use of electronic weaponry will support this attack on humanity, to single out aware people, in the early phases of the genocide. The enslavement objective, would likely aim to keep the the most subservient types of people alive.

Dear reader, please be aware of a large body of (publicly available) research given various names. For example, search: "TI" + "Targeted Individual"+"DEW". There are many aspects to this which have been meticulously engineered to remain unnoticed within popular human culture. That is largely why the controlled media constantly promotes stressful content interlaced seasonally with "bread & circuses". Media is used to promote confussing issues and hide the slow genocide. Weapons of mass-distraction and suppression-of- truly-beneficial-technological uses keeps the public unaware. I was skeptical about all these matters, until researching many fields of history and technology, as well as my own nearly fatal suppression, described above. Let us see that psychopaths operate outside of empathy, outside of rational fair-play. Randomized target practice, by perpetrators, can be expected, huh? Why?! World events today are highly accelerated.

I might additionally have been targeted and 'listed' because "i knew too much. The list of imaginable motives goes on. 

My research has continued and has taken me some years.Below is a free book found on the internet. This book asserts that thousands of citizens are attacked each year. I think the technical, (electro-magnetic-radiation) aspects make sense in general, based upon my non-traditional study of electronics since the 1970s. Perpetrators research and develop weapons against humanity. I have not traced individual entities who perpetrate these crimes. I expect there are many more than one entity. According to multiple internet accounts, the perpetrators just use civilians for various sorts of weapon-ized tests. If random citizens are used in large numbers, in this case, warlike nations will not assume "a major international war action has started". How convenient, just secretly attack individual citizens, with top secret weapons. Is this OK with you?

My own interest has primarily been to compare the claims with basic electronics tech which i studied in 1975.  Especially to compare my personal suppression experiences with remembered electronics tech.  I would love to experiment with this tech for peaceful purposes, but i always have lacked the connections who possess the means or the opportunities required. Sadly, it would no longer surprise me that malevolent end users, get the research grants in this field. It is widely reported that the weapon research is carried out by unwitting technical professions who are highly compartmentalized. Meaning that most professionals within the development programs have no knowledge that the applications of their products are tested upon innocent, life-affirming individuals. Many of the components in these weapon systems are not specifically weapon-ized within themselves. With respectful thanks, a heroic whistle-blower has helped humanity wake up to the larger picture.

The author Dr. Robert Duncan wrote the free book: but the original title was subsequently spammed and the author later reported on the hard consequences he had to endure for his brave whistle blowing effort. (The original PDF was removed from the www, and fake link later appeared with the original pdf name).

Since that earlier time he had published a paper book, seemingly on amazon.com (?) /Project-Catcher-Secrets-Cybernetic-Revealed/dp He once had a blog here: projectsoulcatcher. blogspot.com (Gone From WWW)

While these texts raises many sorts of questions for me, multiple issues are corroborated. The point of such books could reveal ongoing barbarism, ubchecked by governance and puppet media. A new comer to these phenomena will have difficulty at first. The allegations are overwhelming for the uniformed. As an experiencer, I found it all made credible sense to me. I am amazed there was so much reported and linked through google, at least from time to time. I was most interested to corroborate the explanations with my own experiences and my long past study of electronics, (in 1975).  Regarding my recovery from the physical trauma, of the murder attempt on my life, Ibegan writing the following, some months after the traumatic attack.

Below are notes on my recovery and healing from 2007 onwards, presented as encouragement in case my account could inspire another injured person to heal naturally. As I did not use so-called conventional medical means to cure myself. In fact I found "more available relief" by "simpler" natural means. I wished that information sources on the web could have provided me this story to inspire these simpler methods of healing. It would have saved a large sum of money which in fact was wasted to pay for hospital fees just to get prescription pain killer! I soon stopped using the pain killer almost immediately. I managed to stop the headache by my own natural remedy described below. Please bear with my limited publishing efforts. Due to it's challenging subject matter, it is worth reading through unpolished texts. The subject matter deserves independent evaluation, beyond spelling and other insignificant objections. Many human advancements came to humanity, through un-polished works and from forgotten souls.) 

I went back to work, on the same construction site, about 6 weeks after my "accident". With my excavator friend away at that moment, I had decided to rent the yellow excavator in the picture above to continue the project, post haste, by myself. I love creatively-purposed earth moving work like this and originally would have done all this digging except that we wanted to speed the progress up. Progress then was suddenly stopped, for still other reasons. The whole event became a loss for all involved. The site remained as it was in 2007 for years thereafter, and it increasingly eroded and grewn over.

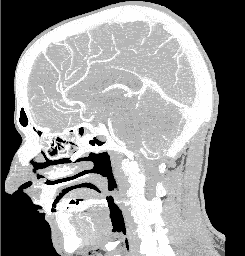
This very expensive scan was required just to get pain killers. The pain was very severe. I tried some aspirin, etc to no avail. After 4 days at home with pain increasing daily, i was persuaded to ride into a local hospital and i hoped to try a little hospital pain killer relief. To my disappointment pain killers were promised only after the X-ray scans (CT angiography). This took many hours to wade through with many useless delays. After finally obtaining a bit of pain killer i decided hospitals and medical protocol were clearly wrong for me. Yet thinking did improve with less pain. I wanted to escape from the gloomy, institutional mind set. Only drugs were offered if one could pay the multiple protocol costs. If one could pay for a bed priced higher than luxury hotels. Sure, charge anything to my name, very funny. Hide the price tags. Little hospital signs encouraged comers like me not to worry about payment!!! Ha, they would have crippled my life, had i depended on them. So, with gradual cognition i increasingly wanted to go home . I had come only in hopes of acquiring a little prescription pain killer, perhaps like a dental situation. The severe head ache had heavily burdened rationality. One pays royally for this or luckily discovers better alternatives. I did find a far superior pain remedy which costs nothing at all. It is a totally-cost-free-remedy and some traditions prescribe it. 

It took me a couple of days after leaving the hospital, to realize that I should not be lying down at all! Sit up, and the blood pressure diminishes in the head. Chances are that modern diets would inte4fere with this remedy, but with a nutritionally sensible diet, this worked for me. 

Powerful skull damage and pressurized pain challenges good reasoning. So I determined to sit up continuously and even sleep in a sitting position. I was startled to find my long term head ache completely vanish in about 9-18 hours of sitting upright, even though i had stopped using any sort of pain remedy! Perhaps a reasonable protocol should advise upright posture for severe head injury, in case good nutrition had long been practiced beforehand.**. This simple advice was absent from hospital protocol. My scholarly brother later verified the protocol fact.How can such poor protocol come from scientific institutions? After curing my week long headache through my own remedy, it felt truly miraculous. Other severe issues persisted: Severe dizziness, ear popping, imbalance and my vision was still completely skewed since the accident. My eyes were totally out of alignment except from one corner (viewing far to the side only). I wondered if I was literally finished. I wore an eye patch to remedy the "cross-eyed"condition. Searching the www for information about all this seemed to suggest that my condition was incurable according to western-medicine. I stopped driving for 2 months. People with all my symptoms tended not to heal. Surprisingly however, each of my conditions did slowly improved over a period of a month and were almost completely healed in about 2-3 months. 

** Update: While "sitting-up" worked in my case, a casual conversation, much later, defended the protocol, which I personally found harmful. A person identifying himself as a medical doctor explained that there is a possibility of spinal fluid leakage, in some injuries, somehow, in some cases -- That lying down prevents the unwanted leakage... Therefore, victims of head injury should not be asked to sit up. However he did not make clear how this can be readily diagnosed or differentiated from my nature of injury. Nor did he explain how my poor scull was to drain all that "blood on the brain" continuously pumping in between my dear brain lobes. Nor did he elaborate any further. I'd be glad to link suggested references, which pertain to this discussion, email me. I could link appropriate references right here! Frankly, it is my increasing expectation, that that science has literally been hijacked by big drug manufacturers and the parent chemical industries. Fascism, is,'t it?

**Additional update, 2 years after my accident: I felt totally healed, with just a slight, occasional, popping in one ear, during animated conversation, but not otherwise. I attest this healing was entirely by natural means which largely consisted of vegetarian and vegan foods, generally, along with supplements aimed at kelating out the damaged by products in my dear skull. It has worked and the curative element were low cost. I did not use any pharma protocols, nor could I afford MD assistance. There were extensive injuries reported by the radiologist, which i can prove, with evidence recorded digitally, by qualified, certified radiologists. If I had reasoned better, i would not have visited the emergency room-- One can not think very clearly with head trauma and severe pain. I would not have needed the oxy codon pain killer if I had avoided lying down horizontally flat during the early days, following injury. I would have healed sooner with bed inclined a littled to keep head higher in elevation. Yet with proof in hand, I hope my experience will serve others. I oppose Codex Alimentarius,support access to health supplements, without difficulties!

To summarize quickly, my CT Angio scan results revealed a skull fracture, blood on the brain but fortunately no aneurysms. It seems logical that "blood on the brain" would cause severe head-ache pain, due to normal blood pressure. (When the head is gravitationally level with the heart, that is. Sitting up reduces the blood pressure on the all-important blood brain barrier.) However, it is illogical that a modern science would hide the most appropriate remedy from head-trauma victims, (in favor of monopolistic remedies-- Masking the pain instead of relieving the high pressure on the blood-brain-barrier). I largely attribute my healing to intensive nutrition along with self styled mental and spiritual discipline. I have always respected high-quality dietary protocols and "dietary supplements". Especially when i don't have time to shop around for better ranking food, nor time for proper preparation. I generally admit that food preparation should be prioritized. I was especiallyappreciative to find specific diet and supplement protocols put together by garynull.com. 

My Favorable Experience With (2007) Supplements

Gary's tablet formulation called "Supreme Health Formula" contains many super nutrients, which, were helpful to brain health and brain recovery, to my understanding, and Gary generally favors organic plant based sources instead of chemically-synthesized or animal-tissue-materials. It is a little like getting super nutrients when you can't spend time shopping around. If all common foods had all the nutrients or enough of them, supplements would not interest me. I had been using Gary's formulation prior to the injury. I believe my stamina was helpfully strengthened by use of scientifically proven supplements. By contrast, modern medicine has for too long focused on disease-cosmetics, instead of health boosting nutrition. Modern medicine has for too long preferred to mask the symptoms with drugs and neglect unhealthy side effects. Worse yet is the absence of repair which good nutrition offers. The body better achieves repair with nutrition. Pain-masks cost more than do carefully chosen nutritrients. I splurged my money and bought many selective nutrients (as compiled by Gary), which i feel played a vital roll in my head- recovery. In fact, Gary has compiled a specific, detailed protocol for nutrition of the brainbased on scientific research journals. He even reportedly supported certified nutritionists to provide free services in NYC. Amazing. I have no reluctance to support a business like that.

We should pay much more attention to restorative nutrition and resist monopolistic blinders. Unfortunately, the pharmaceutical industry repeatedly tried to outlaw marketed supplements through greedy political tactics. I feel sorry for all those who suffer needlessly from medical iatrogenics. I believe the CT Angio scans were not worth the cash in my case. No restorative benefit was received from them. Only arrays of X-ray radiation-exposures were received. So... In less than one day after entering the hospital, i left, (My wife driving). Progress seemed very slow, but it was steady and far better than hospitals have reported for severe head trauma. From what i understand, modern pharma has achieved little success with permanent head-trauma cures. 

Organically grown nutrients are intentionally freed from pesticides and are very effective cleansing agents. By contrast, overly commercialized food grown on depleted farm soils have lacked important nutrients and instead load toxic pesticides into our body. I believe this is especially relevant for clean up and repair of severe injury including severe head trauma. This nutritional approach to health has long been suppressed for fear of weakening vast pharmacological monopolies. Presently there is an attempt to take over the word "organic"and dumb down legal definitions of that word. Consumers are slowly coming to appreciate the organic food advantages. Sadly, the big players treat it as a branding war instead of scientifically proven-case option. Powerful entities fear loosing market share. Their market share has for decades been dependent on uninformed consumers.

Honest scientific comparison of orthodox medicine with specific dietary protocols would reveal some superior performances of dietary science over monopolistic orthodoxy. That is why such comparisons through double blind studies are prevented by authoritarians. Orthodoxy refuses to test superior methods, fearing a loss of market share. A lame excuse is offered to the effect that comprehensive comparisons would cost too much. Rather it would clearly demonstrate that dietary protocols would win over orthodox pharmaceuticals. (If scientific comparisons were made. Instead science isn't funded where monopolistic profits would suffer. Typical market forces resist science.) Furthermore, orthodox medical cheerleaders, claim that they have increased the human life span as compared with historical records. I have long questioned this notion saying that technologies, such as the poly-phase electrical power distribution and rural electrification are more responsible for increased life spans. The poly phase system, (three phase power and long distance power distribution) invented by Nikola Tesla and first implemented by Westinghouse Corporation, made possible widespread refrigeration of perishable necessities like food. Improved water supplies and electrically powered sewage treatment arrested ravaging disease. Improved transportation increased food supplies, while better preserving food at the same time. (Electrical refrigeration first began wide distribution, around that time). Social consciousness teamed with enlightened business, gave the masses education. These most critical items and others increased the average life span of our times. Medical orthodoxy does not deserve all the credit which is heaps upon itself, concerning health statistics. How dare they claim all the credit? Easily answered: raw profiteering with political pay-back.

Furthermore, authentically spiritual approaches to health are discouraged by the extreme materialism. However, instances of healing have been found through authenticity spiritual approaches. A spiritual attitude helps guide a healthy mind in sorting out material paradoxes. Much of life is perplexing. Why should things that taste good prove bad for us? Why should things that taste bad prove good for us? What works for the greater good or greater depravity? Generic spiritual attitude helps to resolve exhausting paradoxes. Now let me get back to the materialistic side, (where modernity defines and confines health).

There are a large number of helpful nutrients to consider, so i advise life-long study. For a start, removal of nutrients as in "refined white flour" or in processed food deprives us badly. Whole grains provide critical nutrients. Food processing largely deprives us of nutrients and instead, harmful substances are installed, (such as pesticides and assorted food cosmetics). The pesticides and cosmetics simply overload the natural mechanisms of toxin removal. There are many sources of natural-health information, pro and con (this issue or that issue). Unfortunately, the majority choose to remain conned through mainstream indifference. Indifference to achieving a high standard of health. The fact is that some people have found nutritional and other non orthodox health solutions. This has progressively occurred through countless generations. Strict dietary protocol has healed a variety of common ailments. Orthodox medicine has broadly ridiculed self empowered natural healing. Some limited, initial acceptance of dietary protocols started gaining mainstream popularity from about the 1970s, continuing to the present. I have followed much of this for nearly 4 decades as of posting this webpage, while medical- orthodoxy dragged it's feet in the nutritional approach. Dietary approaches to health were often discouraged by cultural leaders. A populist notion has been spread widely which foments distrust of scientific dietary information, because it is difficult to follow scientific progress, (which is continuously updating). People dislike spending time to study the numerous details and the struggling history of dietary science. The populist question arises, how can you trust a science that burdens you with changing and with confusing facts? Progressive, developing facts should not upset us. If we accept where higher truths may leads us. If we stopped being a figment of monopolistic imagination. Dietary facts would be more reliable if the studies themselves were not monopolistically manipulated. 

There are many sources of good information on natural healing associated with nutrition. I will point to a few i have noted lately.

It can be difficult to find or afford wholesome food. It is labor-intensive to grow considerable amounts of wholesome foods in one's own garden. In that this would typically be a second job in addition to an occupation. Difficult also in the sense of fully devoting one's life style to developing labor habits and proper storage. Habits must be developed for weeding and tending vegetables, etc.. (Here was my visualization for a satisfying garden system). Vigilance over all, that is chosen, can be very disappointing as wholesome supplies do cost more than inferior supplies. (Monopolies will not encourage better products and thereby monopolies cultivate inferiority). The urge to go out and work in a service economy instead, can distract attention from wholesome lifestyle alternatives. With better income, one can simply buy the more expensive but more wholesome foods. One can still gain some sense of satisfaction by supporting "local sustainable producers". I've savored many options between these various contrasting approaches. It is easy enough for me to grow health inducing vegetables for 5 months a year, but the remaining 7 months demands more breakthroughs (in a cool climate). Raising sprouts will easily provide some important "cleanser nutrients" while saving money. Greenhouse gardening certainly can extend growing seasons, but is also fraught with pest issues and "climate control issues". Foregoing meat in my diet saves me considerable money. 

I absolutely love informational and educational audio resources. I love to study deep subject while involved with other productivity. (For example physical labor, which also provides healthy invigorating exercise). Since the time of my "accident", the available spectrum ofthese resources has expanded extensively. Besides recorded materials of podcasts, i bought a text-to-audio conversion-software . All normal text can now be inserted (pasted) into this software, which is then transcribed into voice. The good-hearted people of the internet increasingly share their worksin html or in pdf formats. These sorts of text easily transfer into podcasts.

I like recycling, reusing, salvaging and saving money.The mp3 player devices on the market offer a variety of styles and functionality. The cheapest variety can be used with headphones or be attached to amplifiers an older audio devices. Ten-year-old stereos are more durable than the economy type sold today, (which i find break easily and also are more difficult to use). Yard-sales have cheap stereos for the frugal. I cannot say enough in praise of informational and constructive broadcasts available on-line! Be aware that copyrights might apply to some materials in this regard. For larger bodies of text i ask permission which has always been extended for personal use of my text choices. I also learning from thought provoking material, now widely available on the internet.

 Bo Atkinson